The Role of Indocyanine Green Fluorescence in Endoscopic Endonasal Approach: Challenges in a Resource-Limited Developing Nation.

Advertisements

By Iroegbu-Emeruem, L; Mbadugha, T; Ogiwara, T (2024). Greener Journal of Medical Sciences, 14(1): 8-14.

 

Greener Journal of Medical Sciences

Vol. 14(1), pp. 8-14, 2024

ISSN: 2276-7797

Copyright ©2024, the copyright of this article is retained by the author(s)

https://gjournals.org/GJMS

Article’s title & authors

The Role of Indocyanine Green Fluorescence in Endoscopic Endonasal Approach: Challenges in a Resource-Limited Developing Nation.

Linda Iroegbu-Emeruem (MB.BS, FWACS)1; Tobechi Mbadugha, (M.D, FWACS)2; Toshihiro Ogiwara, (M.D)3

Neurosurgery Division, Department of Surgery, Rivers State University Teaching Hospital, Port Harcourt, Rivers State, Nigeria

Department of Neurosurgery, Royal Preston Hospital Lancashire teaching hospital trust, Lancashire, United Kingdom.

Department of Neurosurgery, Shinshu University School of Medicine, Matsumoto Nagano prefecture, Japan

ARTICLE INFO

ABSTRACT

Article No.: 031424032

Type: Research

Full Text: PDF, PHP, HTML, EPUB, MP3

Background: The Transsphenoidal surgery (TSS) approach is considered a safe and effective first-choice option for resection of sellar/parasellar lesions. Initially done micro-surgically, the endoscope is now the preferred instrument because of its better illumination and wider panoramic view. The applicability of Indocyanine green (ICG) video-angiography in the endoscopic endonasal approach (EEA) shows great promise.

We reviewed the technicalities of ICG video-angiography in EEA, its role, and the challenges and limitations in a resource-poor developing country.

Methods: A narrative review of papers pertinent to the topic was done by the authors. The local experiences of the authors were also described as well as a case illustration.

Results: ICG application in EEA is a technical venture, requiring amongst other things, a custom endoscope with a near-infrared light source to capture the ICG fluorescence. The roles of ICG in EEA include confirmation of anatomical landmarks during exposure; easy localization of microadenomas intraoperatively and intraoperative assessment of vascularized intranasal flap perfusion and viability. The challenges with employing an ICG-assisted EEA in Nigeria are both institutional, technical, and patient-related. It has a higher cost-per procedure compared to the alternatives. EEA requires sub-specialization and a steep learning curve, which the dwindling neurosurgical manpower brought about by the brain drain in Nigeria makes difficult.

Conclusion: The role of ICG in EEA is still emerging but shows great promise. The challenges in Nigeria are enormous and appreciated by the neurosurgical practitioners who are willing and eager with the cooperation of other stakeholders to explore these advances for the benefit of the Nigerian patient.

Accepted: 13/03/2024

Published: 31/03/2024

*Corresponding Author

Linda Iroegbu-Emeruem

E-mail: liroegbu@yahoo.com

Phone: +2348033392718

Keywords: Indocyanine Green, Video angiography, Endoscopic Endonasal Approach
   

INTRODUCTION

The Transsphenoidal surgery (TSS) approach has largely been accepted as the gold standard for resection of sellar/parasellar lesions because of its minimally invasive appeal.1 Lesions in the cranial bases from the cribriform plate to the odontoid can be reached via the extended approaches. The use of the microscope in TSS predates the endoscopic application. However, qualities like having a wide panoramic view, and better illumination have made the endoscope the preferred instrument for approaching the complex skull base despite its steep learning curve.2

Indocyanine green (ICG) fluorescence is an emerging intraoperative-imaging modality in surgery.3,4 Its application in neurosurgery, although still evolving, has revolutionized vascular neurosurgery vis a vis craniotomy for intracranial aneurysms and other vascular malformations. Given its appealing clinical safety profile of being nonionizing and nontoxic3 as well as easy intraoperative usability, skull base endoscopists are beginning to explore its applicability in the endoscopic endonasal approach (EEA).

Technical considerations of ICG Endoscopy

Certain requirements must be in place to perform an ICG examination during EEA. These include the ICG compound, a high-definition (standard) endoscope and a custom endoscope with near-infrared light source.

Indocyanine green (C43H47N2NaO6S2) is a water-soluble tricarbocyanine dye with an absorption and fluorescence spectrum in the near-infrared (NIR) region. It easily binds to plasma proteins after intravenous injection, distributing rapidly in the blood with maximum absorption and fluorescence wavelengths of 780nm and 820nm respectively.5 ICG when given as a bolus injection (12.5–25 mg) in the peripheral vein is relatively safe, but to be avoided in patients with iodine hypersensitivity and used with caution in patients with chronic kidney impairment.6

During EEA, the nasal and sphenoid stages are usually done in the standard fashion under white light with high-definition (standard) endoscopes. However, to perform an ICG examination during the sellar stage, a custom ICG endoscope is needed in addition.

The custom endoscope is a near-infrared (NIR) endoscopic system with technical components designed to combine excitation, emission, and observation of the ICG tracer drug.4 NIR-optimized endoscope has a photodynamic diagnostic (PDD) 3-chip camera head, and an in-built optical excitation filter to block both ambient and excitation light so that only ICG fluorescence is captured.4–6 However, some custom endoscopes have been modified such that the light source can be converted from standard white light to near-infrared light (ICG mode) with a foot switch.4

Roles in Endoscopic Endonasal Approach

Confirmation of Anatomical landmarks and Neurovascular structures.

Hide et al5 highlighted the superiority of ICG over intraoperative neuronavigation and Doppler sonography in the confirmation of anatomical landmarks during EEA. ICG gives clearer information on vessels hidden behind the dura mater such as internal carotid artery (ICA), cavernous and inter-cavernous sinuses, or vessels buried in bone and tumour, therefore providing for a better orientation. Unlike neuronavigational systems which have low spatial resolution power for the detection of vessels that are not clearly defined on computed tomography and magnetic resonance images, the ICA and patent cavernous sinus are detected with the ICG endoscope in real-time and at high resolution with a strong fluorescence signal through the dura mater and the covering thin bone.

ICG fluorescence signals are strong enough to outline abnormal tumour vessels, and identify the hypophyseal arteries and small perforators to the brain, optic nerves, chiasm, and pituitary stalk, confirming their patency during and after tumour resection.5 With the real-time observation of the blood supply to the optic nerves and pituitary, preservation of their function postoperatively can be reasonably predicted. Conversely, although intraoperative doppler ultrasonography can reveal arterial flow in real-time, it cannot demonstrate the shape of concealed arteries nor obtain information on the venous systems because of its low spatial resolution.5 Endoscope-integrated ICG video-angiography can be useful in verifying the patency of vessels hidden from microscopic and doppler ultrasonography views.

Hide and associates5 found the application of ICG during EEA for resection of craniopharyngioma quite useful in identifying the pituitary stalk which has a strong fluorescent signal and distinguishing it from the weak signal of the tumour. Hitherto, this discrimination between the pituitary stalk and craniopharyngioma would have been difficult resulting in a higher incidence of damage to the stalk with the attendant sequelae.

Intraoperative localization of microadenomas.

Another important role of ICG in EEA is the intraoperative localization of pituitary microadenomas. Conventional imaging modalities like the computed tomography (CT) scan and magnetic resonance imaging (MRI) have low sensitivity in visualizing pituitary microadenomas. Although MRI dynamic studies and inferior petrosal sinus sampling (IPSS) have improved the preoperative localization of microadenomas, the accuracy of localization is still less than 50 per cent and 80 per cent respectively.7,8

The difference in capillary microvascular densities of pituitary adenomas and normal glands has been well established and is being explored in the ICG technique. Following ICG injection, the normal gland and microadenomas can be differentiated in real-time during surgery because the normal gland has an increased fluorescence while the adenoma fluoresces less. This was explained by Kovacs and associates9 who observed that pituitary adenomas have a reduced capacity to stimulate angiogenesis and have fewer vascular densities compared to normal glands. Histologically, adenomas have fewer capillaries and endothelial cells compared to non-tumorous adenohypophysis.9 In light of the foregoing, the use of intraoperative ICG video angiography facilitates early identification and complete resection of microadenomas while limiting damages to the normal gland.

In addition, both tumoral and en passage vessels are more easily identified; brain shift and time-related changes during tumour resection are accounted for unlike in the use of a neuronavigational system. Overall, these contribute to the improved degree of tumour resection, fewer complications and better outcomes generally.6,10

Intraoperative assessment of vascularized intranasal flap perfusion and viability.

ICG is popular among plastic reconstructive surgeons in the intra and postoperative assessment of free flaps viability. It has shown promise in the assessment of the perfusion of vascularized nasoseptal flaps which is the primary reconstructive option for skull base defects during EEA.11 This is especially useful in situations where there may be suspected compromise either in repeat EEA procedures or following intraoperative iatrogenic injuries like drill injuries. Geltzeiler and associates11 evaluated the relationship between ICG enhancement of intranasal flap during EEA and postoperative clinical outcomes like flap necrosis. Of significance was the finding that, when both the flap body and pedicle enhanced with ICG intraoperatively, the rate of postoperative flap necrosis was zero per cent, making it a good tool for predicting flap viability.

Challenges in a Resource-limited Developing nation

Endoscopy application in neurosurgical procedures has come of age. It is however, still in its budding stages in Nigeria and other sub-Saharan countries.12,13 Nigeria is a developing nation, largely made up of low-income communities, with limited access to basic amenities like electricity and well-equipped health care systems as well as standard neurosurgical facilities. Nigeria has about 80 practicing neurosurgeons to cater for its population of 200 million, giving a ratio of one neurosurgeon to 2.7 million Nigerians.14

Despite the global trend towards the transsphenoidal approach and EEA in particular,1,2 most neurosurgeons in Nigeria still approach sellar lesions via the transcranial route. This is because of the numerous challenges associated with setting up and running a neuroendoscopy unit in Nigeria. These challenges are institutional, technical, and patient-related.

Endoscopic pituitary surgery is a technical venture with arguably a higher cost-per procedure compared to the alternative microscopic transsphenoidal and transcranial approaches.2 It requires huge investments in equipment procurement, maintenance and personnel training to set up and support the services. To carry out an intraoperative ICG examination during an EEA, additional requirements like ICG-compatible endoscopes with NIR visualization, apart from the traditional endoscopes and ICG injections are needed. All these come at a huge cost and are currently not available in Nigeria.11,12

There is no political will from the government, and the private sector is not motivated enough to invest such huge resources needed in setting up and managing neurosurgical services in general and neuroendoscopy in particular.12 Compounding the situation, is the uneven distribution of the health resources in Nigeria due to the low public health priority given to neurosurgery.

EEA is a technically challenging procedure, requiring sub-specialization and intensive training of personnel. The low number of practitioners in the neurosurgical workforce and the ongoing problem of brain drain in Nigeria makes sub-specialization in neuroendoscopy difficult. The average neurosurgeon is preoccupied and overwhelmed with trauma, infections and other general neurosurgical conditions that neuroendoscopy appears like a luxury. EEA requires a steep learning curve which entails large case volumes before one can attain proficiency. To the authors’ knowledge, there are no neuroendoscopy training facilities in the subregion, and with a poor referral system in Nigeria, concentrating a large volume of cases in one center for training is a difficult task.

Patient-related challenges include financial reasons, illiteracy, and ignorance. Most patients pay out of pocket for healthcare services in Nigeria due to a lack of insurance coverage. With the high-cost requirement for the setup of neuroendoscopy services and the absence of government subsidies, the cost of treatment is expected to be higher than the traditional transcranial procedure. Illiteracy and ignorance as well as negative cultural beliefs are important factors that affect the acceptability of neuroendocopic procedures.12

Addressing these challenges requires a multifaceted approach. More advocacy with the government and private sector to show commitment to neurosurgery with legislative back-up. Specialized regional neuroendoscopy centers should be set up where resources can be concentrated, and proper referral systems adopted to build a large patient volume for effective service delivery and training of personnel locally. Endoscopic skill acquisition laboratories should be set up to facilitate learning outside the operating rooms.2,12 Younger colleagues and medical students should be encouraged to subspecialize in neurosurgery by providing an enabling environment and mentorship.

Case Illustration

A 77-year-old Japanese woman presented with a four-year history of uncontrollable secondary diabetes mellitus (Hb A1c 10.3%) attributed to hormonal disturbance with cortisol of 24.7µg/dl (5 -15 µg/dl), ACTH 88.7pg/ml (7.2 -63.3pg/ml). This was complicated by diabetic ketoacidosis (RBS of 406mg/dl) and subsequently electrolyte imbalance (Potassium 2.4mmol/l). Other associated co-morbidities were osteoporosis, hypertension, dyslipidemia and paroxysmal atrial fibrillation.

Examination findings were blood pressure of 141/93mmHg, hirsutism and thin skin. Visual assessment was essentially normal as well as other neurological exams. Other hormonal assessments showed normal thyroid function and growth hormone but slightly elevated prolactin – 23.7ng/ml (3.6 -16.3ng/ml).

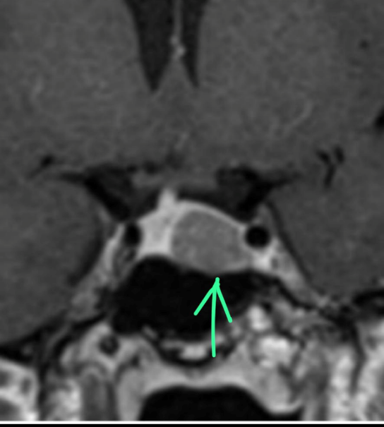
A dynamic contrast-enhanced MRI study highlighted the pituitary microadenoma (Fig 1). Inferior petrosal sinus sampling confirmed an ACTH- secreting pituitary adenoma on the left side (peripheral ACTH – 11.6pg/ml, right IPS- 26.9, left IPS – 44).

Figure 1. Coronal section, T1 weighted post-contrast dynamic sequence image of the pituitary fossa showing the tumour, a rounded region of delayed enhancement (green arrow) compared to the rest of the gland.

She was counselled for total resection of the tumour through an Endoscopic endonasal approach (EEA). EEA was performed through the right paraseptal route with the left rescue flap using the standard endoscope (Fig. 2). ICG was administered and a custom ICG-integrated endoscope was introduced. The tumour was visualized as appearing non-fluorescent compared with the normal pituitary gland (Fig. 3). The adjourning ICA was also visualized (Fig. 4). A soft whitish tumour was resected after capsulotomy. The anterior and posterior lobes were confirmed and remained fluorescent with ICG. Pseudo capsulectomy was added. After total resection, hemostasis was confirmed and the sellar floor was repaired.

Figure 2. Standard endoscopic view of the sellar floor with the bone removed. Inset of the preop coronal MRI image.

Post-operatively, the patient’s serum cortisol and ACTH were normalized as summarized in Table 1. Potassium levels were also normalized, and BP and blood sugar levels were controlled. Histological examination confirmed pituitary adenoma. The patient remained free from any symptoms suggestive of endocrinopathy at six months follow-up visit and no tumour recurrence (Fig 5).

Figure 3. Custom endoscopic view after ICG administration showing the less fluorescent adenoma (marked **) and the normal gland pushed to right (marked x).

Figure 4: Angiographic view of the parasellar ICA following ICG injection

Figure 5: Third postoperative month (follow-up visit), Coronal section of MRI showing complete resection of the pituitary tumour

Table 1. Summary of the important hormonal and electrolyte assays preoperatively and postoperatively

Hormones Normal range Pre-operative Post-operative
Cortisol 5-15 µg/dl 24.7 7.7
ACTH 7.2 -63.3 pg/ml 88.7 16.5
Potassium 3.5-5 mmol/l 2.4 4.0
Prolactin 3.6- 16.3ng/ml 23.7  

Comment: This case highlights the advantages of using ICG assistance in the intraoperative localization and subsequent total resection of a functioning pituitary microadenoma via the EEA approach in a technologically advanced referral center in Japan, a high-income society. A complete tumour resection is required in achieving resolution of hypercortisolism. This ICG technology offers that assistance and precision needed intraoperatively to separate the tumour from the normal gland as well as preserve normal glandular functions.

This may be extrapolated to craniopharyngioma resections where the ICG technology will be helpful in separating the tumour from the pituitary stalk to achieve gross total resection with less risk of recurrence as well as preservation of normal pituitary glandular and stalk functions,

Limitations: ICG use in EEA is a relatively new and expensive technology. As would apply to all new technologies, there is lack of class I data associated with its use. However, the preliminary reports are promising, with its utility and practicality continually being reviewed.

CONCLUSIONS

The role of ICG video angiography in EEA is still emerging compared to other non-invasive intraoperative imaging modalities but shows great promise. However, these modalities are best used to complement each other rather than in isolation to achieve the desired outcomes.

The challenges in Nigeria and other developing countries are enormous and appreciated by the neurosurgical practitioners who are willing and eager with the help of the government and other stakeholders to explore these advances in neuroendoscopy for the benefit of the Nigerian patient.

 

REFERENCES

1. Alander JT, Kaartinen I, Laakso A, et al. A Review of Indocyanine Green Fluorescent Imaging in Surgery. Int J Biomed Imaging. 2012;(Oct;2012).

2. Booth GL, Redelmeier DA, Grosman H, Kovacs K, Smyth HS, Ezzat S. Improved Diagnostic Accuracy of Inferior Petrosal Sinus Sampling over Imaging for Localizing Pituitary Pathology in Patients with Cushing ’ s Disease. J Clin Endocrinol Metab. 1998;83(7):2291-2295.

3. Bruneau M, Appelboom G. Endoscope-integrated ICG technology : first application during intracranial aneurysm surgery. Neurosurg Rev. 2013;36:77-85.

4. Emejulu J; Malomo A; Oremakinde A; Onyia C; Opara O; Iroegbu-Emeruem L; Otorkpa E; Komolafe E; Bankole, F; Shehu B. Developing a Guideline for Neurotrauma in Nigeria. World Neurosurg. 2020;138(June):e705-e711.

5. Fujimura M, Ikeda H, Takahashi A, Ezura M, Yoshimoto T, Tominaga T. Diagnostic value of super-selective bilateral cavernous sinus sampling with hypothalamic stimulating hormone loading in patients with ACTH-producing pituitary adenoma. Neurol Res. 2005;27(January):11-15.

6. Geltzeiler M, Carolina A, Nakassa I, et al. Evaluation of Intranasal Flap Perfusion by Intraoperative Indocyanine Green Fluorescence Angiography. Oper Neurosurg. 2018;15(6):672-676. doi:10.1093/ons/opy002

7. Hide T, Yano S, Shinojima N, Kuratsu J. Usefulness of the indocyanine green fluorescence endoscope in endonasal transsphenoidal surgery. J Neurosurg. 2015;122(May):1185-1192.

8. Idowu O, Doherty A, Tiamiyu O. Initial experience with endoscopic third ventriculostomy in Nigeria , West Africa. Child’s Nerv Syst. 2008;24:253-255.

9. Ishioka HN. Recent Evolution of Endoscopic Endonasal Surgery for Treatment of Pituitary Adenomas. Neurol Med Chir (Tokyo). 2017;Apr(57(4)):151.

10. Jugenburg M, Kovacs K, Stefaneanu L, Scheithauer BW. Vasculature in nontumorous hypophyses, pituitary adenomas, and carcinomas: A quantitative morphologic study. Endocr Pathol. 1995;6(2):115-124.

11. Kassam AB, Prevedello DM, Carrau RL, et al. Endoscopic endonasal skull base surgery: analysis of complications in the authors’ initial 800 patients. J Neurosurg. 2011;114(June):1544-1568.

12. Litvack ZN, Zada G, Laws ER. Indocyanine green fluorescence endoscopy for visual differentiation of pituitary tumor from surrounding structures. J Neurosurg. 2012;116(5):935-941.

13. Mclaughlin N, Eisenberg A, Cohan P, Chaloner C, Kelly D. Value of endoscopy for maximizing tumor removal in endonasal transsphenoidal pituitary adenoma surgery. J Neurosurg. 2013;118(March):613-620.

14. Uche EO, Okorie E, Emejulu J, Ajuzieogu O, Uche NJ. Challenges and outcome of cranial neuroendoscopic surgery in a resource constrained developing African country. Niger J Clin Pract. 2016;19:811-815.

Cite this Article:

Iroegbu-Emeruem, L; Mbadugha, T; Ogiwara, T (2024). The Role of Indocyanine Green Fluorescence in Endoscopic Endonasal Approach: Challenges in a Resource-Limited Developing Nation. Greener Journal of Medical Sciences, 14(1): 8-14.

PDF VIEWER

Loader Loading...
EAD Logo Taking too long?

Reload Reload document
| Open Open in new tab

Download [428.52 KB]

Loading

Leave a Reply

Your email address will not be published. Required fields are marked *