Histology and Histochemistry of the Liver of Age- Related African Catfish (Clarias gariepinus) Exposed to Sub-Lethal Concentrations of Urea Fertilizer.

Advertisements

 

Greener Journal of Agricultural Sciences

ISSN: 2276-7770

Vol. 14(4), pp. 186-193, 2024

Copyright ©2024, Creative Commons Attribution 4.0 International.

https://gjournals.org/GJAS

DOI: https://doi.org/10.15580/gjas.2024.4.112724181

QR Code

Article’s title & authors

Histology and Histochemistry of the Liver of Age- Related African Catfish (Clarias gariepinus) Exposed to Sub-Lethal Concentrations of Urea Fertilizer.

Ruma, AG1*; Wade, JW2; Audu, BS2

Department of Agricultural Science Education, Federal University of Education, Pankshin, Plateau state Nigeria.

Department of Zoology, Faculty of Natural Sciences, University of Jos, Nigeria.

ARTICLE INFO

ABSTRACT

Article No.: 122724181

Type: Research

Full Text: PDF. PHP, HTML, EPUB. MP3

DOI: 10.15580/gjas.2024.4.112724181

Despite the valuable use of Urea fertilizer in agriculture, studies have it that whether acute or sub-acute concentration in water body may cause histophysiological changes in multiple vertebrate taxa. This study investigates changes in the histology and histochemistry of the liver of age-related African catfish (Clarias gariepinus) exposed to sub-lethal concentrations of Urea fertilizer. The study was carried out in the Postgraduate Research Laboratory, Department of Zoology, University of Jos, Nigeria. One hundred each of apparently healthy C. gariepinus fingerlings, juveniles and adults of mixed sex were purchased from a reputable fish farm in Jos, Plateau State and transported in an aerated plastic Jeri cans and acclimated for two weeks. During the acclimation period, fish were fed with commercial pelleted feed as reference diet. Three different types of Urea fertilizer: Indorama- N46%; Dangote – N46% and Notore – N46%were procured from Plateau Agricultural Development Program (PADP) while two types of foreign fish feeds: Copen and Skretting were procured from reliable marketers. Solubility and stability test for Urea fertilizers and fish feeds were determined. The selected Urea fertilizer was weighed into different sub lethal concentrations 0.75g/L, 1.50g/L and 3.00g/L. One kilogram each of the test feed (skretting) according to age of fish was poured into the different concentrations of Urea fertilizer to enable the feed absorb the Urea fertilizer solution for 30 minutes then sieved out and allowed to dry under laboratory condition. Each of the dried feed was labelled: 0.75g/L, 1.5g/l and 3.00g/l accordingly. The experiments were conducted in twenty-four (24) plastic bathes according to C. gariepinus age groups. A total of three test concentrations: 0.75g/L, 1.5g/l and 3.00g/l of fish feed each for C. gariepinus fingerlings, Juveniles and adults and control each duplicate replicate were labelled A1, A2, B1, B2, C1, C2, F1, F2 each for the three age groups. The 24 containers were grouped into eight according to age of fish labelled and randomly distributed on a platform in the laboratory. Ten (10) apparently healthy each of acclimated C. gariepinus age groups were exposed to each of the 24 plastic containers accordingly and each filled with dechlorinated water. The test fish were fed for 62 days within which behavioral changes were observed. Water quality parameters were determined bi-weekly throughout the exposure period using the methods of APHA. (2005). The liver organs of the C, gariepinus age groups were excised and processed routinely for variations in histology (H &E) technique and histochemistry using periodic acid Schiff (PAS). Findings revealed that significant differences (p<0.05) were recorded in the histophysiological changes of liver of C. gariepinus age groups exposed to sub-lethal concentrations of Urea fertilizer and control. In conclusion, sub-lethal concentrations of Urea fertilizer (0.75, 1.50 and 3.00g/L) has effect on the histology and histochemistry of the Liver of C. gariepinus age groups compared to the control.

Accepted: 27/11/2024

Published: 31/12/2024

*Corresponding Author

A. G. Ruma

E-mail: ruma.aaron@ gmail.com

Phone: 07067676263

Keywords: Histology, Histochemistry, Liver, Urea fertilizer, concentrations.
   

INTRODUCTION

The liver, gall-bladder, pancreas and swim bladder are the accessory organs of the digestive tract and each of the parts plays a vital role to the overall growth and development of fish (Ali, 2015). The fish liver is a key organ which controls many functions and plays an important role in fish physiology, both in anabolism as in catabolism (Claudemir, Renata, Maria, Carlos & Irene, 2014). Fertilizers have considerably contributed to increase in food production and food security, hence over the years, different type of fertilizers are used to improve crop production. Fertilizer application whether organic or inorganic has over the years been essential for increase in agricultural output. They play an essential role in modern agricultural production, however, when wrongly used can cause imbalance within the environment (Gupta & Kumari, 2021). Study by Han, An, Hwang, Kim & Pank (2016) and Rosal, Solanic, Agan, Mondea, Villa & Sanchez (2021) shows that inorganic fertilizers are relatively inexpensive, have high nutrient contents, and are rapidly taken up by plants however, the use of excess inorganic fertilizer can result in number of problems such as histological and histochemistry changes in fish anatomy. The effects of Urea fertilizer on fish have been reported by Asuquo, Essien-Ibok & Abiaobo, (2016); Ajima, et al., (2017); Gupta & Kumari, (2021); Rosal, et al., (2021). Studies have been documented on the liver of fish (Ikpegbu, Nlebedum & Ibe, 2014). However, despite decades of agricultural use of Urea fertilizer and widespread detection of this chemical in freshwater, no data is available on the effect of sub lethal concentrations of Urea fertilizer on the histology and histochemistry of the liver of African catfish (C. gariepinus) exposed to sub-lethal concentrations of Urea fertilizer. Hence, this study seeks to investigate changes in the histology and histochemistry of age-related African catfish (Clarias gariepinus) liver exposed to sub-lethal concentrations of Urea fertilizer.

MATERIALS AND METHODS

The study on histology and histochemistry of the liver of age-related African catfish exposed to sub-lethal concentrations of Urea fertilizer was investigated in the Applied Hydrobiology and fisheries Laboratory, Department of Zoology, University of Jos, North Central, Nigeria. One hundred each of apparently healthy C.gariepinus fingerlings, juveniles and adults mixed sex with mean weight 4.22±0.15; 22.67±1.10 and 643.96±48.75g respectively, mean total length 8.77±0.25; 12.80±0.21 and 38.93±0.39cm respectively and mean standard length 7.60±0.21; 10.63±0.24 and 24.93±0.45cm respectively were purchased from a reputable fish farm in Jos, Plateau State, North Central Nigeria. The fish were transported in an aerated plastic containers to post graduate Hydrobiology and fisheries laboratory, Department of Zoology, University of Jos, Nigeria. The fish were acclimated for two weeks in plastic containers separately according to age groups. During the acclimation period, fish were fed with commercial pelleted feed (skretting; crude protein- 42%, crude fat- 10%, crude fibre- 3.2%, ash- 7%).

Source and types of Urea fertilizer; three different types of Urea fertilizer: Indorama Urea – N46%; Dangote Urea – N46% and Notore Urea – N46%were procured from Plateau Agricultural Development Program (PADP).

Source and types of fish feeds; two types of foreign fish feeds: Copen and Skretting were procured from reliable marketers.

Solubility test: Five grams of the different types of Urea fertilizers; A B C were dissolved in five liters of water and stirred with a glass rod. Each of the three Urea types procured above dissolved within two minutes.

Stability test for fish feeds: Five grams of feed procured; A and B were dropped in five liters of water and observed for thirty minutes to determine which one is more stable in water for use in feeding the experimental fish throughout the research period.

Preparation of stock solution: The chosen Urea fertilizer was weighed into different sub lethal concentrations as in Ajima et al. (2017); 0.75g/L, 1.50g/L and 3.00g/L. One kilogram each of the test feed (skretting) according to age of fish was poured into each 0.75g/L, 1.50g/L and 3.00g/L concentrations of Urea fertilizer and enable the feed to absorb the Urea fertilizer solution for 30 minutes, stirred with a glass rod to obtain a homogenous mixture then sieved out and allowed to dry under laboratory condition. Each of the dried feed was labelled (0.75g/L, 1.5g/l and 3.00g/l) accordingly.

Experimental Design: The experiments were conducted in twenty-four (24) plastic bathes according to age. A total of three test concentrations; 0.75g/L, 1.5g/l and 3.00g/l of fish feed each for C. gariepinus fingerlings, Juveniles and adults and control each duplicate replicate were labelled A1, A2, B1, B2, C1, C2, F1, F2 each for the three age groups. The 24 containers were grouped into eight according to age of fish labelled and randomly distributed on a platform in the laboratory.

Experimental Procedures: Ten (10) apparently healthy acclimated fish were exposed to each of the aforementioned test concentrations in the 24 plastic containers; C. gariepinus age groups and filled with dechlorinated water. The test fish were fed three times a day for 62 days within which behavioral changes were observed. The test fish were not fed 24 hours a day prior to commencement of the experiment.

Determination of water quality parameters: Water quality parameters were determined bi-weekly throughout the exposure period using the methods of APHA. (2005).The water quality parameters monitored were; temperature, free carbon dioxide, dissolved oxygen, hydrogen ions (pH), alkalinity, nitrite, ammonia and nitrate.

Histological Processing of Liver Tissues of C. gariepinus age group

Liver tissues were histologically processed according to method by Drury and Wallington (1980). Liver tissues of 5mm thickness were obtained by trimming the tissues using sharp razor blade. Thereafter, trimmed liver tissues were histologically processed. Briefly, trimmed tissues were dehydrated in graded concentrations of alcohol; 70% for 1 hour, 90% thrice for 1hour and two times in absolute alcohol (100%) for 1 hour each. This was succeeded by clearing of dehydrated tissues in xylene for 2 hours each and then embedded in paraffin wax at 60°C. The waxed tissue blocks were then sectioned at 5μm thickness using rotary microtome (Leica, USA). Sections obtained were mounted on clear albuminized slides subsequent to floating on a warm water bath and then dried in an oven and stained with haematoxylin and eosin (H & E). The stained tissues were later viewed under light microscope (Olympus, China) for variation in parenchymal histoarchitectural changes in different groups( Ikpegbu Nlebedum,, Nnadozie & Agbakwuru, 2012; Thayappan, Maghil, Annadurai & Narayanasamy, 2014; Pollyanna, Debora,, Analucia, Sirlene, Jerusa, Alex & Jeneri, 2015)..

Histochemistry of the Liver of C. gariepinusage groups

The periodic acid Schiff (PAS) technique was carried out using procedure of Blachall and Daisley (1973)and Omirinde, Olukole and Oke (2021). Waxed sections of various segments of liver from the different cat fish groups were dewaxed in xylene for 5 minutes and rinsed consecutively in 100%, 96% and 70% alcohol for 1minute each. This was followed by placing rinsed tissues in distilled water and subsequently treating with undiluted periodic acid for 10 minutes. The treated tissues were washed in eight changes of distilled water, exposed to Schiff’s solution for 1hour and washed in running tap water for 10 minutes. The nuclei were distinctly stained with Lilly Mayer’s heamatoxylin for 1 min and further differentiation was avoided. Bluing of the tissues was done under tap water for 10 minutes. This was followed by tissue dehydration in 96% and 100% alcohol, cleared in xylene and mounted in Entellan. When viewed under microscope, parts of the tissue that were positive for glycogen stained magenta while the nuclei stained bluish. Furthermore, the respective photomicrographs of the PAS‑stained slides were quantified using Image J software (NIH, Bethesda, MD, USA).

Statistical Analysis

Two-way analysis of variance (ANOVA) was used to evaluate significant differences across groups and the values of P<0.05 was considered significant. A Turkey post hoc test was further used to evaluate the significant differences between and within groups. Statistical package for social sciences (SPSS) version 17.

RESULTS

The hepatic histo-morphology of the control groups of C. gariepinus fingerlings, juvenile and adult is devoid of lesion and characterized by distinct central vein (cv), sinusoidal spaces (red arrow), intact hepatocytes with regular outline, roundish nucleus and substantial cytoplasm (Plates. 1A, 2A & 3A). Similarly, the liver of all the age category of fish exposed to 0.75 g/L of Urea fertilizers shared similar appearances with their respective controls (Plates 1B, 2B & 3B). However, 1.5 and 3.0 g/L concentrations of Urea fertilizers precipitated moderate to severe histopathological lesions (central veinous congestions, cellular infiltration, hepatocellular degeneration and necrosis) in their respective liver parenchyma (Plates 1, 2 & 3 C-D).

The periodic acid–Schiff (PAS) positive areas were mainly demonstrated within the cytoplasmic hepatocyte and in the boundary area between hepatocytes across all the different age-groups of C. gariepinus exposed to concentrated grades of Urea fertilizer (Plates 4-6). The PAS intensity values in the C. gariepinus fingerlings and adult liver decreased significantly (p<0.05) with the increasing grades of Urea fertilizer concentration (Table 1). However, there was no significant difference (p>0.05) in the PAS intensity of the liver of C. gariepinus juvenile exposed to different grades of Urea fertilizer concentration compared to the control. The trend in liver PAS intensity variation across the age groups of C. gariepinus exposed to Urea fertilizer initially appeared to significantly increased (p<0.05) from C. gariepinus fingerlings to juvenile and then significantly reduced in the C. gariepinus adult (Table 1).

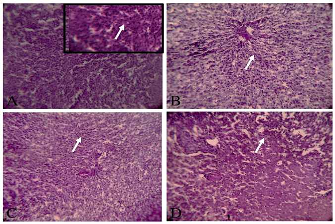
Plate 1. Photomicrographs of the Liver of Clarias gariepinus Fingerlings Exposed to Graded Concentrations of Urea Fertilizer. A. Control: The liver histo-architecture is devoid of lesion and typified by distinct central vein (cv), sinusoidal spaces (red arrow), intact hepatocytes with regular outline, roundish nucleus and substantial cytoplasm (black arrow). B. 0.75 g/L of UF: Has no visible lesion C. 1.5 g/L of UF: Moderate central venous congestions (black arrow), diffuse hepatocellular degeneration (red arrow) and moderate cellular infiltration (white arrow). D. 3.0 mg/L of UF: Marked hepatocellular degeneration (black arrow). Magnification: X400; Stain: Haematoxylin and Eosin.

Plate 2. Photomicrographs of the Liver of ClariasgariepinusJuvenile Exposed to Graded Concentrations of Urea Fertilizer. A. Control: Normal histological appearance (distinct central vein (cv) and roundish nuclei (black arrow) within cytoplasm. B. 0.75 g/L of UF (Urea Fertilizer): No lesion observed. C. 1.5 g/L of UF: Moderate central venous congestions (cv) and diffuse hepatocellular necrosis (black arrow). D. 3.0 g/L of UF: Diffuse hepatocellular necrosis (black arrow). Magnification: X400; Stain: Haematoxylin and Eosin

Plate 3. Photomicrographs of the Liver of Clariasgariepinus Adult Exposed to Graded Concentrations of Urea Fertilizer. A. Control: The liver histo-architecture appeared normal and characterized by intact hepatocytes with regular outline, roundish nucleus, substantial cytoplasm (black arrow) and distinct portal vessel (pv). B. 0.75 g/L of Urea Fertilizer (UF): Share similar histo-architecture with the control. C. 1.5 g/L of UF: Moderate central venous (cv) and sinusoidal congestions (white arrow) as well as peri-portal hepatocellular degeneration (black arrow). D. 3.0 g/L of (UF): Severe hepatic degeneration (white arrow) and marked hepatocellular infiltration (black arrow). Magnification: X400; Stain: Haematoxylin and Eosin.

Plate 4. PAS staining of the Liver of Clarias gariepinus Fingerlings Exposed to Different Concentrated Grades of Urea Fertilizer. A. Control B. 0.75 g/L C. 1.5 g/L D. 3.0 g/L. Also, note the demonstration of periodic acid–Schiff (PAS) positive areas within the cytoplasmic hepatocyte and in the boundary area between hepatocytes (white arrow). Magnification: X400.

Plate 5. PAS Staining of the Liver of Clarias gariepinus Juvenile Exposed to Different Concentrated Grades of Urea Fertilizer. A. Control B. 0.75 g/L C. 1.5 g/L D. 3.0 g/L. Note the demonstration of PAS positive areas within the perivascular tissue in A, B & D (white arrow) as well as in the boundary area between hepatocytes in C (black arrow).Magnification: X400.

Plate 6. The PAS Staining of the Liver of Clarias gariepinus Adult Exposed to Different Concentrated Grades of Urea Fertilizer. A. Control B. 0.75 g/L C. 1.5 g/L D. 3.0 g/L. Note the demonstration of PAS positive areas within the perivascular tissue and between hepatocytes in A (white arrow and arrowhead), within cytoplasmic hepatocytes in B & C (white arrow) and inter-hepatocytes in D (white arrow). Magnification: X400.

Table 1: PAS Staining Intensity in the Liver of the Different Age Groups of Clarias gariepinus Exposed to Concentrated Grades of Urea Fertilizer.

    Concentration of Urea fertilizer(g/L)    
Organ PAS

Intensity (%Area)

Age grouping Control 0.75 1.50 3.00
Liver Fingerling 72.92 ± 2.71a# 58.43 ± 3.00b# 46.69 ± 1.22 c## 47.64 ± 1.15c##
  Juvenile 70.83 ± 3.97a# 70.60 ± 2.50a## 66.24 ± 1.15a### 68.68 ± 2.03a###
  Adult 67.04 ± 2.74a# 60.99 ± 1.99b# 38.73 ± 0.55c# 40.97 ± 1.83c#

PAS – Periodic Acid Schiff – Values with the different alphabet superscripts (a,b,c,d) in the same row (comparison along each age group) are significantly different

– Values with the different number of harsh tag (#) in the same row (comparison across different age groups) are significantly different.

DISCUSSION

The liver is the major metabolic centre in all vertebrates and any damage to this organ would subsequently lead to many physiological disturbances which will cause mortality in fish (Mishra & Poddar, 2016; Madhulatha & Rajyasree, 2019). |The result of the current study revealed that C. gariepinus age groups exposed to graded concentrations of Urea fertilizer manifest to some extent histological alterations in the liver while those exposed to normal/control tanks shows normal structure. These histological alterations in the liver of C. gariepinus age groups exposed to graded concentrations of Urea fertilizer were in line with the work of Scham, Hanan, Fawzia and Midhah (2014). The alterations in the liver of fish under study may be attributed to the intake of food substances imbibed by different concentrations of Urea fertilizer. Findings revealed that the normal liver of C. gariepinus age groups and C. gariepinus age groups exposed to 0.75gL concentration of Urea fertilizer exhibited normal structure, devoid of lesion and were characterized by distinct central vein, sinusoidal spaces, undistorted hepatocyte, roundish nucleus and substantial cytoplasm. Similar finding was observed in the liver of Channa striatus (Madhulatha & Rajyasree, 2019); Gupta and Kumari (2021). Histological study in the present study revealed that the liver of C. gariepinus exposed to 1.5g/l and 3.0g/l concentrations of Urea fertilizer showed varied degree of ventral congestions, diffuse hepatocellular degeneration, moderate cellular infiltration, marked hepatocellular degeneration, severe hepatic degeneration, necrosis vacuoles degeneration and necrosis of hepatic cells. Simillar finding was reported by Ullah, et al. (2015) who observed significant changes such as disintegration of hepatic mass and necrosis in the liver of Labeo rohita exposed to cypermethrin.

The liver of C. gariepinus exposed to higher concentrations of Urea fertilizer in the present study showed hyperplastic hepatic and necrosis of hepatic cells. Similar observations were recorded by Kalaiyarasi et al. (2017). The necrosis of the liver of C. gariepinus age groups exposed to higher concentrations of Urea fertilizer in the present study could be due to the extra work load on hepatocyte during detoxification of the Urea fertilizer.

Histochemistry studies on the effect of sub-lethal concentrations of Urea fertilizer: 0.75, 1.5, 3.0 g/L and control on the liver of C. gariepinus fingerlings revealed a PAS positive within the cytoplasmic hepatocyte and the boundary area between hepatocyte. Similar finding was reported on Cyprinus carpio (Khalid, et al.2020). The presence of PAS positive cells in tissues often indicates the presence of neutral mucin. The presence of PAS+ within the cytoplasmic hepatocyte of the liver of C. gariepinus Juvenile exposed to graded concentrations of Urea fertilizer also indicate the presence of neutral mucin. The liver of C. gariepinus juvenile exposed to graded concentrations of Urea fertilizer shows PAS positive area within the perivascular tissues as well as bonding areas between hepatocytes while that of the C. gariepinus adult exposed to all the concentrations including the control recorded PAS positive within the perivascular tissue and between hepatocytes, within cytoplasmic hepatocytes. This is contrary to findings by Olivera-Ribeiro & Fanta (2000); Johnson, et al. (2005). The histochemistry of the liver of C. gariepinus fingerlings and adults shows that PAS values decreased with increasing grades of Urea concentration. Findings on histochemistry study revealed that PAS intensity variations of the C. gariepinus liver exposed to graded concentrations revealed an increased from fingerlings to Juveniles but reduced as the C. gariepinus increased in age thereafter.

CONCLUSION

In conclusion, the hepatic histo-morphology of C. gariepinus fingerlings, juvenile and adult in all the control groups and those exposed to 0.75 g/L were devoid of lesion. However, all the C. gariepinus age groups exposed to 1.5 and 3.0 g/L concentrations of Urea fertilizers precipitated moderate to severe histopathological lesions in their respective liver parenchyma. The liver PAS intensity variation across the age groups of C. gariepinus exposed to Urea fertilizer initially appeared to significantly increased (p<0.05) from C. gariepinus fingerlings to juvenile and then significantly reduced in the C. gariepinus adult. The periodic acid–Schiff (PAS) positive areas were mainly demonstrated within the cytoplasmic hepatocyte and in the boundary area between hepatocytes across all the different age-groups of C. gariepinus exposed to concentrated grades of Urea fertilizer.

REFERENCES

Ajima, M. N. O., Audu, B. S., Mane, A. M., Okeke, L. & Varghese, T. (2017). Alteration in activities of some selected metabolic enzymes and hematological profile of African catfish, Clarias gariepinus chronically treated with Urea fertilizer. Research in Environmental and Life Science, 10(2), 129-134.

Ali, E. (2015). Study of the digestive tract of a rare species of Iranian blind cavefish (Iranocy pristyphlops). BIODIVERSITAS,16(2), 171 – 178.

American Public Health Association [APHA] (2005): Standard methods for the examination of water and waste water. (21st edition), Washington, D.C.,pp 2042.

Asuquo, I. E., Essien-ibok, M. A.,& Abiaobo, N. O. (2016).The effects of some agriculturalfertilizers on fingerlings of heterobranchus bidorsalis. Journal of Aquaculture and Marine Biology, 4(2), 12-14.

Blachall, P.C & Daisley, K.W. (1973). Practical histochemistry. Journal of Histochemistry and cytochemistry, 21, 1-12.

Claudemir, K. F., Renata, A. C., Maria, T. S. B., Carlos, A. V., & Irene, B. F. C. (2014). Morphology and Histochemistry of the Liver of Carnivorous Fish Hemisorubim platyrhynchos. International Journal of Morphology, 32(2), 715-720.

Drury, R.A.B & Wallington, E.A. (1980). The importance of fixation in histopathology. Journal of Clinical Pathology, 33(10), 931-936.

Gupta, D.,& Kumari, A. (2021). Effect of urea [CO(NH2)2] on histopathology of kidney, liver, intestine and gonads in Anabas testidineous (Bloch). International Journal of Current Microbiology and Applied Sciences, 10(6), 106-115.

Han, S. H., An, J. Y., Hwang, J., Kim, S. B. & Pank, B. B. (2016). The effects of organic manure and chemical fertilizer in the growth and nutrient concentrations of yellow poplar (Lirio Dendron tulipifera Lin.) in a nursery system. Forest Science and Technology,12(3), 137-143.

Ikpegbu, E., Nlebedum, U. C., Nnadozie, O., & Agbakwuru, I. O. (2012). Histological structures of the accessory glands of the digestive system in adult farmed African catfish (Clarias gariepinus B.).I0SR Journal of Agriculture and Veterinary Science, 1(6), 41-46.

Ikpegbu, E., Nlebedum, U.C., & Ibe, C.S. (2014).The histology and Mucin Histochemistry of the farmed juvenile African catfish digestive Tract (Clarias gariepinus ). Studia Universitatis “Vasile Goldis” Seria Stiintele Vietii, 23(1), 125-131.

Khalid, H.K., Abdulkarim, J.K.,& Khalid, K.K. (2020). Histological and Histochemical study of the liver and gall bladder of adult male common carp Cyprinus carpio. Plant archives. Available at www.plantarchives.org/SPECIAL%20issue%2020-1/87-438-442-pdf. 25th September 2022.

Oliveiro-Ribeiro, C.A.,& Fanta, E. (2000). Microscopic morphology and histochemistry of the digestive system of a tropical fresh water fish Trichomycterus brasiliensis. Revista Brasileira Zoologia, 17(4), 953-974.

Omirinde, J. O; Olukole, S. G. & Oke, B. O. (2021). Age – related changes in the testicular morphophysiology of the Cane Rat (Thryonomys swinderianus). Journal of Microscopy and Ultrastructure, 20(20), 1 – 9.

Pollyanna, M. F. F., Debora, W. C., Analucia, S., Sirlene, S. R. S., Jerusa, M. O., Alex, J. S. C., & Jeneri, A. S. Z. (2015). Intestinal and liver morphometry of the yellow Tail Tetra (Astyanax altiparanae) fed with oregano oil. Annals of the Brazilian Academy of Science, 88(2), 911-922.

Rosal, J., Solanic, C., Agan, M. Q., Mondea, D., Villa, B.,& Sanchez, D. (2021).Effects of prenatal exposure to urea fertilizer on the Angiogenesis, body growth, and liver structure of duck (Anas platyrhychos) embryos. Pollution, 7(2), 367-375.

Thayappan, K., Maghil, D., Annadurai, R. A. R., & Narayanasamy, S. (2014). Histological study of the intestine and liver tissues in fish Oreochromis mossambicus exposed to Cypermethrin. Journal of Modern Biotechnology, 3(4), 48-54.

Madhulatha, T. & Rajyasree, M. (2019). Effect of single super phosphate on histopathological aspects of fish Channa striatus. International Journal of Advanced Research, 7(5), 905 – 909.

Kalaiyarasi, T., Jayakumar, N., Jawahar, P., Ahilan, B. & Subburaj, A. (2017). Histological changes in the gill and liver of marine spotted catfish, Arius meculatus from sewage disposal site. Therespuram Thoothukudi, South East coast of India. Journal of Entomology and Zoology Studies, 5(5), 1710 – 1715.

Cite this Article:

Ruma, AG; Wade, JW; Audu, BS (2024). Histology and Histochemistry of the Liver of Age- Related African Catfish (Clarias gariepinus) Exposed to Sub-Lethal Concentrations of Urea Fertilizer. Greener Journal of Agricultural Sciences, 14(4): 186-193, https://doi.org/10.15580/gjas.2024.4.112724181.

PDF VIEWER

Loader Loading...
EAD Logo Taking too long?

Reload Reload document
| Open Open in new tab

Download [710.89 KB]

.

 

Loading

Leave a Reply

Your email address will not be published. Required fields are marked *